中药治疗疑难老年肺炎
2016.01.28
患者,徐xx,男性72岁,低热、咳脓痰量多、喘息、动则加重,于某省级中文av
保健病房住院治疗,经多种抗生素联合治疗(斯沃、泰能、大扶康等)10余天后,症状无改善。痰培养:绿脓杆菌。查:舌红绛,苔黄微腻,脉滑數。
西医诊断:肺部感染、胸腔积液、心肺功能不全。
中医诊断:喘证。中医辨证:气虚血瘀,痰饮内聚。
治疗:1.停用西药、抗生素
2.百令胶囊10粒日三次3.肺力咳胶囊4粒 日三次
中药处方:
黄芪15 党参15 白术12 黄连6
蒲公英15 川芎9 浙贝母9 葛根9
川贝母12 瓜蒌12 桔梗12 当归9
云苓15 甘草6 薏苡仁30 山药24
芡实24 芦根15 枳壳9 砂仁9
生姜三片,大枣五枚,日一剂。
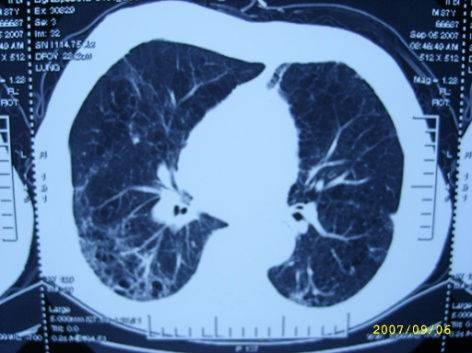
20天后,患者胸水消失,肺部炎症减轻、心影缩小,症状明显好转出院。
治疗前


治疗后


按:临床上老年肺炎病变治疗较棘手,虽然痰菌阳性,但抗生素并不敏感,患者并无受益,状况越来越差,而且老年人心脏功能较差,大量液体会进一步增加心脏负担。停用抗生素等药物减轻心负荷,改善心功能。中医认为:老年患者脏器虚弱,正气亏虚,外邪入里化热,生痰为瘀,故治疗要权衡“毒”与“虚”的问题,当补气健脾,清热化痰活血。饮食渐增,正气充实,祛瘀化饮则病消矣。